上あご奥歯のインプラント

上あご奥歯のインプラント

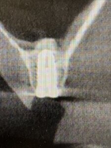
上顎の奥歯にインプラントを埋入する際、上あごの中に存在する空洞(上顎洞)のため、インプラントに必要な骨の幅が足りないケースがほとんど。

ソケットリフトというテクニックで、空洞を持ち上げてインプラント埋入を行うが、もう、30年使っている器具がこちら。目盛も色褪せてきたけど、空洞の底が骨折した時の感覚が的確に自分の手に伝わってくる。

手放せない器具の一つです。

自由が丘 歯科/歯医者
上あご奥歯のインプラント自由が丘デンタルケア

お電話でのご予約・お問い合わせはこちら

ネットからのご予約はこちら

診療予約

治療に関するお悩み・ご相談はこちら

無料メール相談